17 de Abril de 2026
SENSAP alerta para riscos de abastecimento de combustível em recipientes inadequados

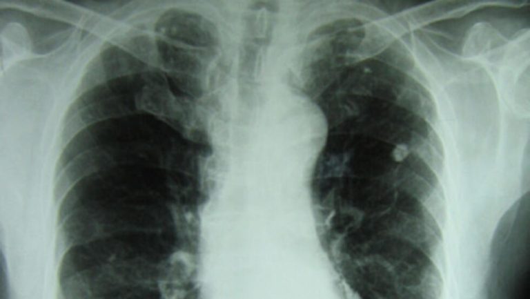
Cerca de 125 mil pessoas vivem com a tuberculose, no País. A maioria dos casos concentra-se nas províncias do sul.
São dados apresentados, à Rádio Moçambique, pela Chefe do Programa Nacional de Controle da Tuberculose, Benedita José, no quadro da passagem, hoje, do dia mundial de luta contra a doença.
Moçambique é actualmente o quarto país com mais casos da tuberculose, na África Austral. (RM)



Bem-vindo ao nosso Centro de Subscrição de Newsletters Informativos. Subscreva no formulário abaixo para receber as últimas notícias e actualizações da Rádio Moçambique.